Quanti di voi usano lenti a contatto colorate per i propri cosplay?
Le più famose sono le circle lens e le sclera, ma in questo articolo useremo il termine "lenti a contatto decorative" per una migliore comprensione.
Il problema di questi accessori ormai molto diffusi è il loro utilizzo e la loro provenienza, infatti, in molti pensano che sia sicuro utilizzarli come qualsiasi altra lente a contatto, ma purtroppo così non è e si può andare incontro a serie conseguenze.
La FDA (food and drug administration) decide cosa è dannoso alla salute e cosa può essere venduto (ha sede in America è di riferimento in tutto il mondo, per ulteriori info FDA wiki) afferma che senza prescrizione medica usare le lenti decorative può essere pericoloso.
La prescrizione, infatti, esclude l'utilizzo di quei prodotti non testati o prodotti da stati i cui i standard di sicurezza non sono quelli occidentali, vedasi la Cina ad esempio e quindi possibilmente pericolosi.
La FDA aggiunge inoltre che:
- le lenti a contatto decorative non sono un cosmetico, sono dei dispositivi medici e come tali sono regolati da leggi particolari di sicurezza. E' addirittura illegale negli Stati Uniti vendere lenti a contatto di questo tipo come se fossero dei semplici cosmetici.
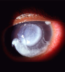
- Non esiste una taglia unica: un ottico dovrebbe controllare quale lente è adatta a ciascuna persona perchè, se non sono compatibili con i nostri occhi, possiamo incorrere in diverse conseguenze, come: abrasioni corneali, infezioni, congiuntivite, calo della vista, cecità
- Una alterata conservazione delle lenti è molto pericolosa perchè causa infezione grave che può portare anche in tempi brevi (meno di 24 ore) a ulcere cornee e cecità. (Mai usare le lenti oltre il periodo indicato o se aperte in passato)
- Non comprare lenti da internet in siti dove non richiedono la prescrizione medica per l'acquisto, perchè non c'è garantita la sicurezza del prodotto.
- Un costo inferiore ai 20 euro esclude un prodotto di qualità e sarebbe da evitare il suo acquisto
- Non usare lenti usate (anche per una sola volta) da altre persone
- Non comprare le circle lense! le lenti a contatto con dimensioni superiori all'iride normale non sono state approvate dalla FDA!
In conclusione, anche se moltissime persone usano le lenti a contatto decorative e in particolare proprio le circle lenses senza particolari problemi questi accessori non sono sicuri!
Molti diranno che non è mai successo niente, ma questo non significa nulla, perchè la volta che capita qualcosa a voi e vi danneggiate gli occhi, vi assicuro che non è piacevole, quindi meglio evitare.
E' più importante la salute che fare un cosplay!
Guardate cosa è capitato ad un noto cosplayer sempre a causa di lenti a contatto cosplayer si devasta l'occhio
ps: Non preoccupatevi, il vostro cosplay sarà bello anche senza lenti, infatti oltre i 2 metri di distanza neppure si vedono!

0 commenti:
Posta un commento